板状無気肺 原因 (476 無料画像)

x

今日の症例・無気肺で肺が縮むということ3: やさしイイ呼吸器教室。

好きです: 71

公式 公益財団法人日産厚生会玉川病院世田谷区二子玉川駅。

好きです: 177

無気肺病気症状ナビbyクラウドドクタ。

好きです: 381

術後に無気肺が起こる3つの原因とは?予防方法や肺炎との関連を解説レバウェル看護 お役立ち情報。

好きです: 477

Que veut dire 無気肺むきはいmukihai? - dictionnaire japonais, d。

好きです: 311

緊張性気胸 Tension pneumothorax– 呼吸器疾患 - 神戸きしだクリニック 神戸市中央区。

好きです: 359

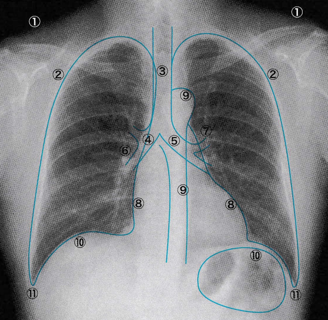
X線診断の基礎知識胸部写真の読み方太田東こども&おとな診療所こどもとおとなの病気について、気軽に相談できる診療所です。

好きです: 206

無気肺 むきはい とは - 東京御嶽山呼吸器内科・内科クリニック。

好きです: 284

無気肺 - Wikipedia。

好きです: 264

診療内容日本医科大学武蔵小杉病院。

好きです: 413

肺葉性無気肺と胸部レントゲン 胸部XP 画像の関係まとめ。

好きです: 28

診療内容日本医科大学武蔵小杉病院。

好きです: 494

シリーズ呼吸器外科 1 気胸呼吸器外科中頭病院。

好きです: 381

無気肺について横浜弘明寺呼吸器内科クリニック健康情報局。

好きです: 164

胸部レントゲン – Welcome to 佐野内科ハートクリニック。

好きです: 126

日々の症例 73 無気肺と閉塞性肺臓炎。

好きです: 251

肺が小さくなるのは?:日経メディカル。

好きです: 105

肺気胸主な疾患・治療についてご利用の皆様へ飯塚病院 呼吸器病センタ。

好きです: 81

無気肺ってどんな病気? - 東京田園調布駅前呼吸器内科・内科クリニック。

好きです: 472

胸部レントゲン道場41・各論14・レントゲンで白くなる病態8・べったりと白くなる連続性の陰影・無気肺3 なんだけど気管の偏位について触れておかねば2 :やさしイイ呼吸器教室。

好きです: 424

シリーズ呼吸器外科 1 気胸呼吸器外科中頭病院。

好きです: 260

呼吸器疾患 しっかん のはなし 3– 中高津クリニック。

好きです: 282

呼吸器外科疾患について藤田医科大学岡崎医療センター 呼吸器外科。

好きです: 223

無気肺について横浜弘明寺呼吸器内科クリニック健康情報局。

好きです: 63

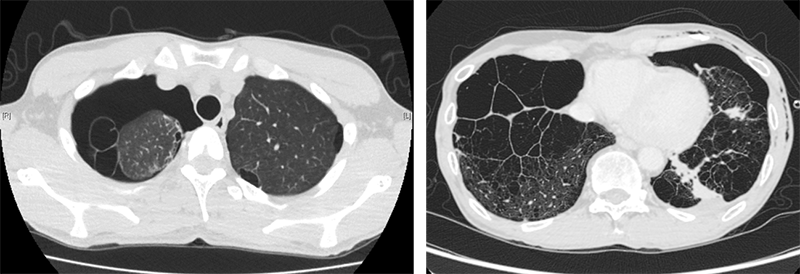
板状無気肺のCT画像診断のポイント。

好きです: 380

無気肺の種類や症状、検査、治療について - 日ノ出町呼吸器内科・内科クリニックブログ。

好きです: 432

無気肺見て!わかる!病態生理と看護 花子のまとめノート。

好きです: 24

無気肺 むきはい とは? 意味や使い方 - コトバンク。

好きです: 116

無気肺の種類や症状、検査、治療について - 日ノ出町呼吸器内科・内科クリニックブログ。

好きです: 55

肺がん 全ページ: 国立がん研究センター がん情報サービス 一般の方へ。

好きです: 225

気胸センター 市立札幌病院。

好きです: 287

無気肺の種類や症状、検査、治療について - 日ノ出町呼吸器内科・内科クリニックブログ。

好きです: 91

無気肺 私の治療– 日本医事新報社。

好きです: 278

気胸滋賀医科大学 呼吸器外科。

好きです: 49

閉塞性・瘢痕性・圧迫性無気肺の仕組みのイラスト🎨 フリー素材 看護roo! カンゴルー。

好きです: 13

無気肺の看護原因や看護問題、看護目標・計画と看護のポイントナースのヒント。

好きです: 65

シリーズ呼吸器外科 1 気胸呼吸器外科中頭病院。

好きです: 209

無気肺について横浜弘明寺呼吸器内科クリニック健康情報局。

好きです: 265

医師監修・作成 気胸とは:原因、症状、検査、治療、再発予防などMEDLEY メドレー。

好きです: 125

気胸になると運動できない?飛行機乗っていい?あいこ内科クリニック中山。

好きです: 72

無気肺について横浜弘明寺呼吸器内科クリニック健康情報局。

好きです: 455

無気肺見て!わかる!病態生理と看護 花子のまとめノート。

好きです: 456

呼吸器疾患 しっかん のはなし 3– 中高津クリニック。

好きです: 168

肺に穴、息苦しい 気胸はストレス・寝不足も原因 - 日本経済新聞。

好きです: 259

無気肺 むきはい とは - 東京御嶽山呼吸器内科・内科クリニック。

好きです: 237

DM-CTG筋強直性ジストロフィーの多臓器症状呼吸障害。

好きです: 45

無気肺 むきはい とは - 東京御嶽山呼吸器内科・内科クリニック。

好きです: 280

気胸、肺に穴あき息苦しく やせ形・高身長ご用心 再発しにくい手術、注目 - 日本経済新聞。

好きです: 372

無気肺ってどんな病気? - 東京田園調布駅前呼吸器内科・内科クリニック。

好きです: 127

無気肺 むきはい とは? 意味や使い方 - コトバンク。

好きです: 233

無気肺」の744点のロイヤリティフリー画像、写真素材、絵Shutterstock。

好きです: 192

気胸について新座志木中央総合病院。

好きです: 128

フレイルチェスト 動揺胸郭 flail chest– 呼吸器疾患 - 神戸きしだクリニック 神戸市中央区。

好きです: 427

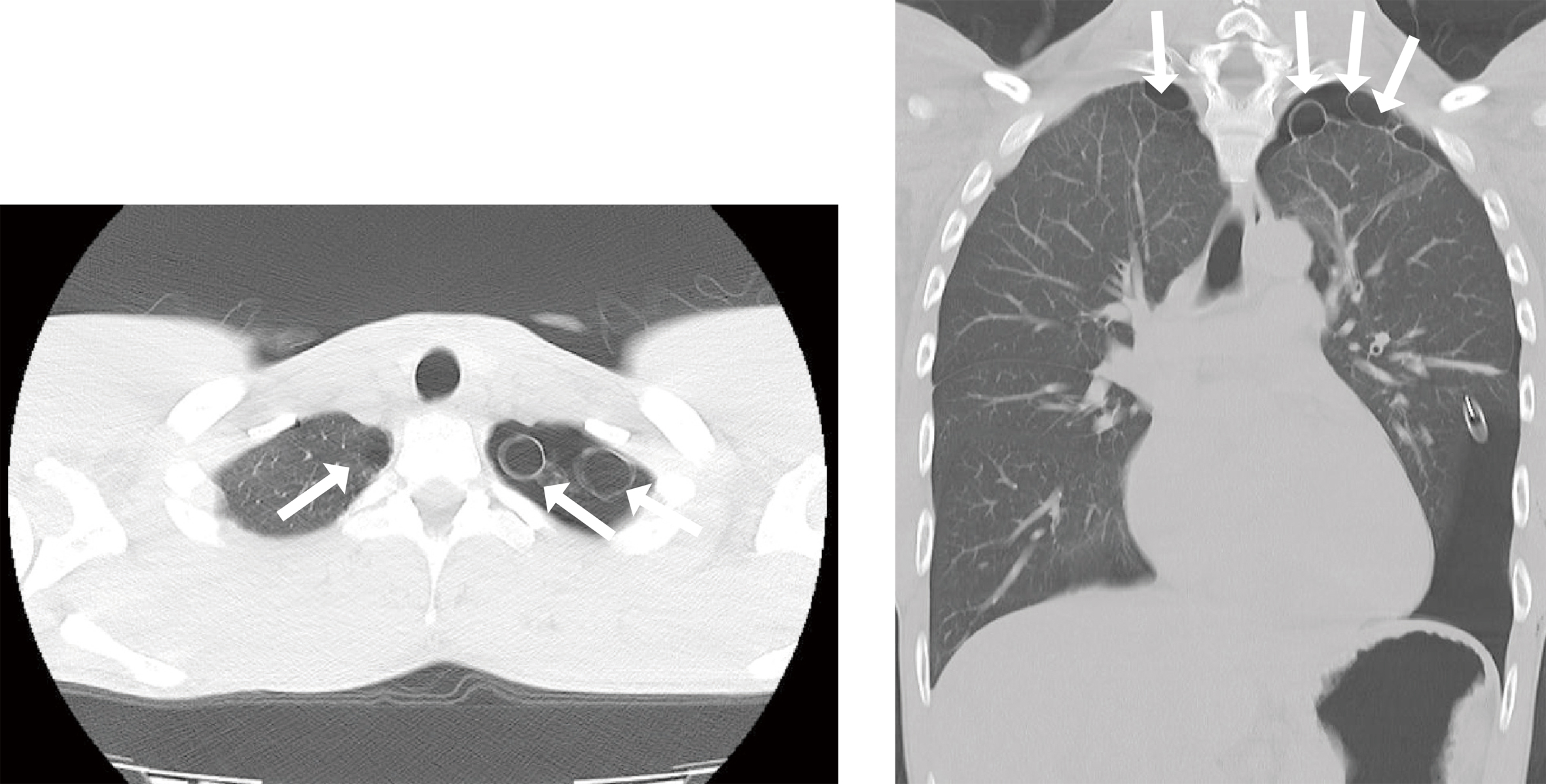
受動性無気肺のCT画像所見と診断のポイント。

好きです: 157

今日の症例・無気肺で肺が縮むということ2: やさしイイ呼吸器教室。

好きです: 204

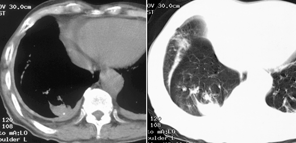
胸部CTで肺野の背側に認める限局的結節、胸膜肥厚、限局性無気肺、結節状無気肺 nodular atelectasis。

好きです: 290

シリーズ呼吸器外科 1 気胸呼吸器外科中頭病院。

好きです: 454

無気肺―肺葉性無気肺を中心にmedicina 41巻12号医書.jp。

好きです: 322

無気肺看護roo! カンゴルー。

好きです: 101

シリーズ呼吸器外科 1 気胸呼吸器外科中頭病院。

好きです: 380

気胸の治療独立行政法人国立病院機構 東徳島医療センタ。

好きです: 339

おすすめの写真ページ:

板状無気肺 原因
会社名
幻光舎
住所情報: 257 吉田Mall, Suite 424, 715-5077, 北海翔町, 岩手県, Japan
電話でお問い合わせ: +81 70-5912-7306