膿 写真 (431 無料写真)

x

性器から膿が出る - 性病の症状 - 横浜・渋谷・名古屋・札幌・大阪梅田の性感染症内科ペアライフクリニック。

好きです: 494

根管治療・根尖病変 右上の歯肉が腫れた、根管内から排膿した方の手術用顕微鏡 マイクロスコープ を使用した根管治療Inoue DentalClinic立川の歯科医院。

好きです: 59

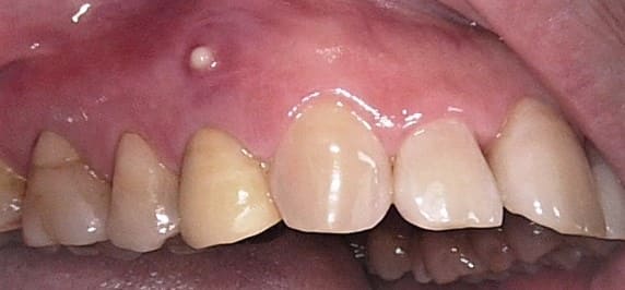
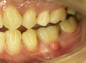
サイナストラクト フィステル 歯茎にできる膿の袋ウケデンタルオフィス・スタッフブログ。

好きです: 14

膿栓 - Wikipedia。

好きです: 278

膿瘍について考える その4有限会社シェパード中央家畜診療所。

好きです: 327

歯周病・いわゆる歯槽膿漏は:吉田歯科クリニック。

好きです: 260

壊疽 えそ 性膿皮症こばとも皮膚科栄駅 名古屋市栄区 徒歩2分。

好きです: 279

とびひ 伝染性膿痂疹ふじた形成外科・皮膚科クリニック長野県松本市イオンモール晴庭3Fあざ・しみ・ほくろレーザー治療・ニキビ・脱毛。

好きです: 309

とびひ 伝染性膿痂疹三宮・皮膚科- はやし皮ふ科クリニック。

好きです: 143

根っこの先に膿の袋ができる?「根尖病巣 こんせんびょうそう 」とはウニクス成田歯科ブログウニクス成田歯科成田市はなのき台。マイクロスコープを用いた精密治療。

好きです: 475

歯茎から膿が出て痛みがある 30代 女性 – 動画一覧ページ根管治療専門医・歯根治療専門医による痛みの少ない根管治療大阪クリニック。

好きです: 77

化膿性汗腺炎 慢性膿皮症 の原因や予防法は?クリニックにおける2つの治療法。

好きです: 206

粉瘤 アテローム の化膿や悪性化の心配 - 渋谷駅前おおしま皮膚科。

好きです: 53

頭部 毛髪部 の膿疱皮膚トラブルの状態チェックヒフシルワカル。

好きです: 458

コラム滋賀県大津市の歯内療法・根管治療専門の歯科医院しらせデンタルクリニック。

好きです: 238

ひょう疽・爪周囲炎大田区大森・大木皮膚科 指の化膿でお困りなら。

好きです: 422

膿がパンパンのニキビはなぜできる?原因や治し方、対処方法を解説Digital Clinic Groupデジタルクリニックグループ。

好きです: 45

とびひ 伝染性膿痂疹- 板橋区成増駅前かわい皮膚科。

好きです: 491

化膿した粉瘤の救急治療船橋ゆーかりクリニック。

好きです: 182

拡がっていく皮膚の傷.comどうして壊疽性膿皮症になるの。

好きです: 472

皮膚粘膜膿皮症 - 学芸大学・目黒区碑文谷の動物病院アビス動物病院。

好きです: 358

チャンネル史上最大級いや、地球史上最大級に腫れ上がった膿袋にレーザーで対抗する僕らの味方救世主歯医者かおり。

好きです: 201

膿皮症。

好きです: 312

クリニックブログ岡山市南区の皮膚科うちだ皮膚科クリニックヘルペス・とびひ・乾癬・アトピー性皮膚炎など。

好きです: 25

猫の歯槽膿漏の症状と原因、治療法についてペット保険のPS保険。

好きです: 265

足の付け根 鼠蹊部 の粉瘤は恥かしがることはありません! - 北海道皮膚のできものと粉瘤クリニック古林形成外科札幌院中央区大通にて皮膚悩みを土日祝も対応。

好きです: 69

ひょう疽で膿んで痛い症状は何科に行けばよいか?放置は。

好きです: 446

歯茎が腫れて膿が出る原因と対処 画像あり西田辺 阿倍野区 の歯医者 歯周病西田辺えがしら歯科。

好きです: 68

排膿路 フィステル とは?歯茎の白い出来物の治療方法とは? 東京日本橋の歯科医院 北川デンタルオフィス。

好きです: 287

犬の膿皮症 - ヒロ動物病院金沢市がん・腫瘍・CT・外科手術。

好きです: 425

膿」の書き方 - 漢字の正しい書き順 筆順。

好きです: 373

ひょう疽・爪周囲炎大田区大森・大木皮膚科 指の化膿でお困りなら。

好きです: 377

拡がっていく皮膚の傷.comどんな壊疽性膿皮症があるの。

好きです: 98

歯茎から大量に膿が出てくくるので歯医者へ東京都調布市の歯医者・歯科柴崎駅5分の柳沢歯科医院。

好きです: 447

国立市のとびひ 伝染性膿痂疹 治療、谷保駅前皮フ科。

好きです: 130

当院では炎症性粉瘤の処置 切開・排膿 をしています。 « スタッフブログ今井皮フ形成外科 東京都立川市。

好きです: 449

再根管治療ズキズキ痛い膿んでいる下顎第一大臼歯。

好きです: 280

皮膚膿瘍:切開排膿 - Procedures Consult。

好きです: 170

とびひ 伝染性膿痂疹 の症状とは?原因や対処法を解説治験モニター・治験バイト募集ならJCVN。

好きです: 316

歯茎が腫れて膿が出る原因と対処 画像あり西田辺 阿倍野区 の歯医者 歯周病西田辺えがしら歯科。

好きです: 320

ひょう疽・爪周囲炎大田区大森・大木皮膚科 指の化膿でお困りなら。

好きです: 446

歯周病 歯槽膿漏 の進行と矯正治療での歯が動く仕組みについて。

好きです: 382

膿痂疹野田市 小児科 千葉県 こどもの花粉症 こどもの漢方 喘息 アトピー性皮膚炎 アレルギー 結節性痒疹 たんぽぽこどもクリニック。

好きです: 345

とびひ 伝染性膿痂疹- 板橋区成増駅前かわい皮膚科。

好きです: 350

膿皮症ってどんな病気?自由が丘どうぶつ病院 アニコムグループ 休診日なし犬、猫、うさぎの動物病院世田谷区奥沢。

好きです: 76

歯ぐきに膿が出る原因とは?「悪化させない」対処法・治療法を解説「桜台駅から徒歩1分」桜台駅前歯科クリニック練馬区の歯医者。

好きです: 177

化膿した皮下異物山本外科内科医院 公式 鳥取市の医療法人。

好きです: 28

体のあちこちに膿がたまる 原因となる病気と改善方法 イシャチョク。

好きです: 467

歯茎や歯根に膿が溜まる原因は?症状や治療法を解説。

好きです: 358

膿がたまったニキビの原因は?予防法や治療法を解説美容整形はTCB東京中央美容外科。

好きです: 6

根管治療で膿が出るのはなぜ?中野の歯医者マナミ歯科クリニック。

好きです: 469

66 膿痂疹 Stock Photos, High-Res Pictures, and Images - Getty Images。

好きです: 454

歯ぐきから膿?原因は?応急処置・治療方法について尾張旭市の歯医者・にしお歯科こども歯科。

好きです: 465

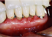
歯周病で腫れて膿がたまった歯肉を切開して排膿させる。

好きです: 165

おすすめの写真ページ:

膿 写真
会社名
幻光舎
住所情報: 257 吉田Mall, Suite 424, 715-5077, 北海翔町, 岩手県, Japan
電話でお問い合わせ: +81 70-5912-7306