歯列矯正 経過 写真 (455 無料画像)

x

広島の矯正歯科 匠歯科・矯正歯科 矯正治療例。

好きです: 471

院長ブログ 症例集 ワダ矯正歯科。

好きです: 309

大人の歯列矯正 アラサーの大事な4年を捧げた歯並び改善の、その後@BAILA。

好きです: 329

30代女性 ネイリスト│矯正歯科体験記│KAZ矯正歯科 東京都千代田区神保町の矯正歯科。

好きです: 219

No.49「ここまで治る!! 矯正治療の実力」 - ぷれすしーど掲載記事ふかつ歯科・矯正歯科 広島県福山市の矯正歯科クリニック。

好きです: 434

大人の矯正症例れんしゃ矯正歯科。

好きです: 462

出っ歯と下の前歯の歯並びが凸凹であることを気にして来院した成人 album 187石井歯科矯正歯科医院。

好きです: 168

矯正治療後のアフターケア目白ヶ丘デンタルクリニック・矯正歯科矯正専門サイト。

好きです: 345

歯列矯正して老けた?その原因と解決方法 歯を前に出す矯正 を解説。

好きです: 251

院長の治療経過福岡市早良区でマウスピース型矯正ならうえき矯正歯科。

好きです: 244

舌側矯正の症例 交叉咬合・前歯の叢生を改善したい!博多矯正歯科 KITTE博多院。

好きです: 52

歯について矯正歯科歯について矯正歯科歯について一般歯科げんき歯科・矯正歯科 - 香川県丸亀市の歯医者。

好きです: 382

舌側矯正症例 前歯の凹凸・出っ歯 上顎前突 ・口元を下げたい博多矯正歯科 KITTE博多院。

好きです: 319

歯列矯正 半年経過歯列矯正、はじめました。おわりました。

好きです: 161

すきっ歯 空隙歯列 の矯正治療例 20代女性 治療期間約3ヶ月愛知県尾張旭市の歯医者・歯科尾張旭駅10分のナガイ歯科。

好きです: 459

矯正体験レポート第四回:2ヶ月経過しました! -公式 日本橋はやし矯正歯科。

好きです: 103

25歳の矯正日記🦷📖✏️. 6カ月経過の 下顎の変化です!! . 投稿が遅くなってしまい 申し訳ありません🙇🏻‍♀️5面間載せたら満足しちゃってました😅 . 下顎に関しては 安定に綺麗に並んできてますね✨ あまり変化も分からないですが 少しずつ抜歯窩に歯が動いてきて。

好きです: 7

歯について矯正歯科歯について矯正歯科歯について一般歯科げんき歯科・矯正歯科 - 香川県丸亀市の歯医者。

好きです: 419

歯列矯正㉔ 3年2ヶ月経過報告。Midori歯列矯正旅行。

好きです: 69

矯正症例64 Angle class Ⅱ 上顎前突 叢生 出っ歯 能代市 北秋田市 大館市 歯列矯正 ブログ能代でインプラント治療を行なうならよつじ歯科・インプラント矯正歯科クリニック。

好きです: 425

部分矯正の歯列矯正の治療例静岡市のエンゼル矯正歯科・小児歯科クリニック。

好きです: 95

ちゃんまり@ナカモトフウフ on X: "ナカモトフウフ更新! 「歯列矯正一年経過!歯並びの動きをスライドショーにしてみた」https:t.co ZIr7IIWJTk 歯列矯正日記 11です!表側ワイヤー矯正を始めてから今までの歯並びビフォーアフターがものすごいです !一年でこんなに。

好きです: 25

大人の歯列矯正 アラサーの大事な4年を捧げた歯並び改善の、その後@BAILA。

好きです: 290

矯正の経過総合歯科治療の東京代々木駅前歯科・矯正歯科・口腔外科。

好きです: 326

ワイヤー矯正 経過 - 名古屋の矯正歯科・歯列矯正・診療 名駅アール歯科・矯正歯科。

好きです: 97

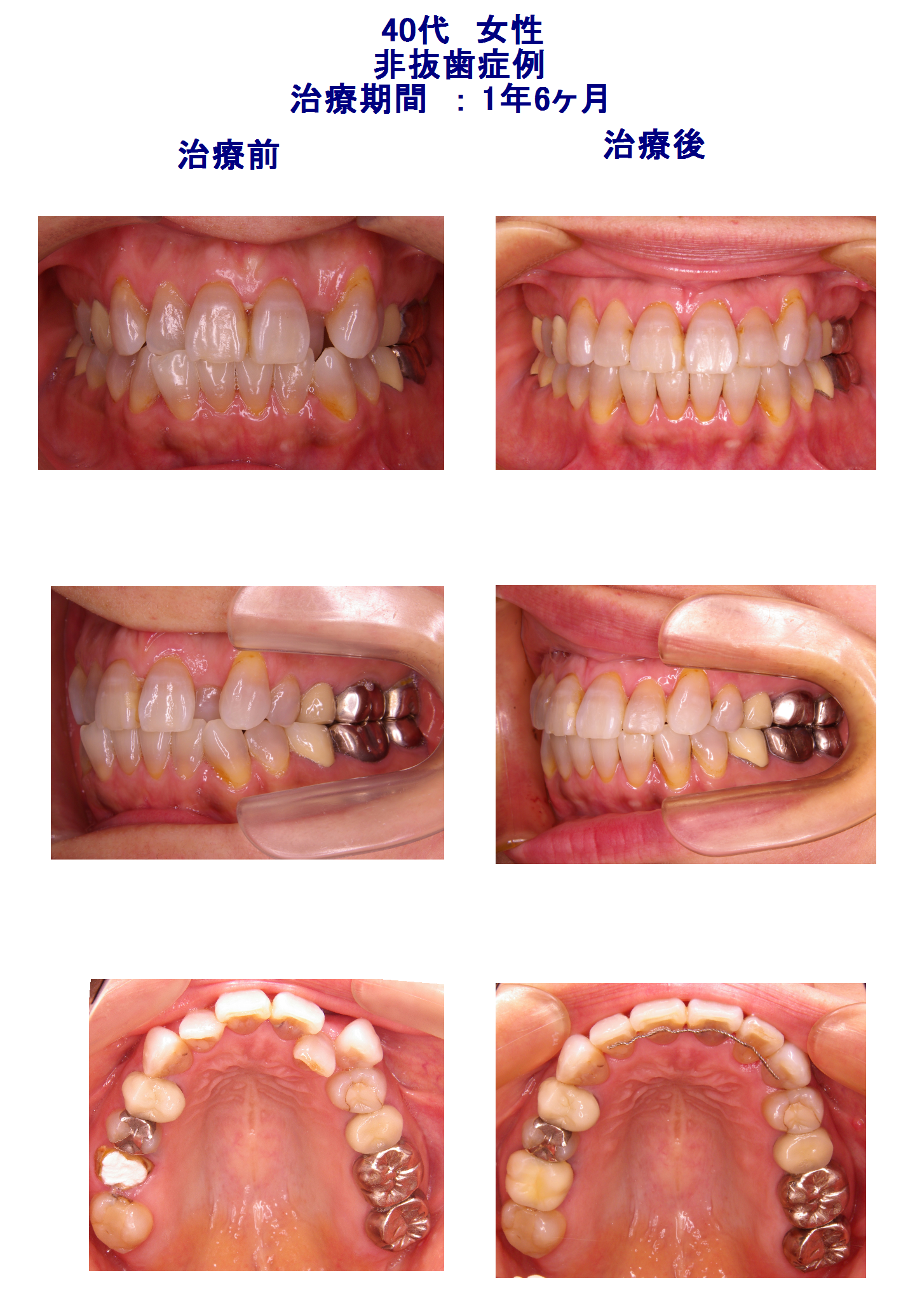
40代 女性 マルチブラケット 非抜歯症例 デコボコ院長ブログ 症例集 ワダ矯正歯科。

好きです: 11

インビザライン治療 経過報告 - 宇都宮矯正歯科宇都宮の歯列矯正・マウスピース型矯正装置インビザライン。

好きです: 129

矯正経過報告ー2.5ヶ月ー - 33歳からの歯列矯正日記。

好きです: 257

ガタガタ・出っ歯・受け口の歯列矯正の治療例静岡市のエンゼル矯正歯科。

好きです: 142

矯正体験レポート第四回:2ヶ月経過しました! -公式 日本橋はやし矯正歯科。

好きです: 144

歯列矯正日記 3 1ヶ月経過で口ゴボ改善してきた。横顔や口元の変化や痛みやニキビ多発で金アレ疑惑。

好きです: 137

矯正治療体験談 at ブログ│川口市の矯正歯科「清村矯正歯科」JR川口駅徒歩2分。

好きです: 496

矯正ブログ スタッフ奥村編④:現在の歯並びの経過 - ヨリタ歯科クリニック。

好きです: 354

矯正治療体験談 Vol.2 Before-Afterat ブログ│川口市の矯正歯科「清村矯正歯科」JR川口駅徒歩2分。

好きです: 400

歯列矯正の経過が見たい!ジェア歯科。

好きです: 112

準備矯正治療症例−上顎前突−群馬県高崎市のうえき矯正歯科。

好きです: 411

大人の矯正症例れんしゃ矯正歯科。

好きです: 37

少し変化!?比較写真を用いてワイヤー矯正から一週間の経過報告口ゴボ出っ歯の矯正日記。

好きです: 348

Hey!Say!JUMP 八乙女光💛歯列矯正治療の経過を分析 - ジャニーズの歯並びと矯正。

好きです: 296

矯正の失敗 矯正のやり直し 矯正する歯科医院の選び方 能代市 北秋田市 大館市ブログ能代でインプラント治療を行なうならよつじ歯科・インプラント矯正 歯科クリニック。

好きです: 205

矯正臨床例日宇歯科・矯正歯科大久保厚司長崎県佐世保市。

好きです: 322

矯正治療の経過総合歯科治療の東京代々木駅前歯科・矯正歯科・口腔外科。

好きです: 273

Aligner Orthodontic mix dentition 10 years old start then 8years retentioncase 20years old now混合歯列期矯正治療10歳開始 矯正治療終了後8年保定終了経過 20歳shapememoryalignergraphyinvisalignnemonemocastdsddigitalsmiledesign形状記憶。

好きです: 341

❁ 軽度な歯列矯正なら『インビザラインGO』 盛岡市や紫波郡の皆さんの健康と笑顔を守る神の前歯科医院。

好きです: 248

息子の矯正 途中経過 - 安井歯科。

好きです: 166

矯正ブログ スタッフ青木編②:インビザライン矯正治療3ヶ月目 - ヨリタ歯科クリニック。

好きです: 180

スタッフブログ⑧〜1年経過〜福岡天神矯正歯科。

好きです: 398

歯列矯正後の横顔の変化を比較!きれいなEラインを実現した症例 - 東京日本橋エムアンドアソシエイツ矯正歯科。

好きです: 86

約1年半 歯列矯正の経過紹介その③「開咬」「すきっ歯」「出っ歯」佐賀スマイル髙城歯科。

好きです: 246

歯列矯正日記 2 半年経過!綺麗な歯列になりました。 - 北欧でメシを食う。

好きです: 258

矯正治療後のアフターケア目白ヶ丘デンタルクリニック・矯正歯科矯正専門サイト。

好きです: 136

習慣性の口呼吸の患者さん album 165石井歯科矯正歯科医院。

好きです: 406

歯列矯正ビフォーアフター8回目の痛みの様子と変化ここのの衣装製作日記。

好きです: 434

大人の歯列矯正 アラサーの大事な4年を捧げた歯並び改善、全部見せます!①@BAILA。

好きです: 294

キレイラインの症例が見たい!実際に矯正治療した患者様のビフォーアフター写真まとめ公式 キレイライン矯正 実績12万人最短2.5ヶ月のマウスピース矯正。

好きです: 334

約1年 歯列矯正の経過紹介その①「叢生」「出っ歯」佐賀スマイル髙城歯科。

好きです: 451

娘の矯正治療経過 - 福山市の総合歯科 河底歯科・矯正歯科Blog。

好きです: 24

歯列矯正歯科の治療費用・料金と症例別写真しんゆり矯正歯科神奈川県川崎市の歯医者。

好きです: 7

歯列矯正ってどれくらいで変化がわかる?4ヶ月~1年超の症例写真で検証!公式 キレイライン矯正実績12万人最短2.5ヶ月のマウスピース矯正。

好きです: 126

おすすめの写真ページ:

歯列矯正 経過 写真
会社名
幻光舎
住所情報: 257 吉田Mall, Suite 424, 715-5077, 北海翔町, 岩手県, Japan
電話でお問い合わせ: +81 70-5912-7306