足甲腫れる (467 無料写真)
足の甲が腫れて痛い 原因不明の関節炎でお悩みの方へ 偽痛風 平野区 加美北 生野区 小川鍼灸整骨院小川鍼灸整骨院。
足の甲のむくみを即効解消!簡単にできるマッサージを紹介マッサージ・リラクゼーションサロンBodysh ボディッシュ。
足の甲 - 福岡市城南区の整形外科 タケダスポーツクリニック。
足のむくみ「むくみからのメッセージ」東京血管外科クリニック。
その足の甲の腫れ下駄骨折かも - 骨折・捻挫・肉離れ・スポーツ障害は柏のかしわだ接骨院へ。
打撲して赤く腫れた、女性の足の甲の写真・画像素材-Snapmart スナップマート。
有痛性外脛骨とはスポーツをする学生に多い足の内側の痛みジャーナル インソール ザムスト公式オンラインショップ ZAMST Online。
足の甲のむくみの解消には、マッサージがおすすめ!コラム銀座ナチュラルタイム-銀座駅から徒歩1分の極上リンパマッサージ。
足の指が腫れて痒い・痛い!病院は何科?原因と対処法も紹介 イシャチョク。
川崎・鶴見で痛風でお困りなら川崎鶴見血管外科クリニック。
本日の患者様 足の甲の骨折の方横浜で評判な接骨院のブログで初めてのご利用も安心です。
歩けるけど痛い!足首の捻挫は何日でよくなる? - 整体の操和沖縄県浦添市の痛みと痺れの整体院。
二分靭帯」の損傷。足首を捻って足の甲の外側が腫れた。
足首から足の甲が痛い院長ブログ名古屋市天白区野並にある赤松接骨院。肉離れや肘、膝、腰などのスポーツ傷害治療や交通事故治療にプロスポーツ選手も御用達のアキュスコープを使用し,早期回復を目指します。
痛風発作左足の人差指と薬指と足の甲の腫れ の写真素材109104092- PIXTA。
足首から足の甲が痛い院長ブログ名古屋市天白区野並にある赤松接骨院。肉離れや肘、膝、腰などのスポーツ傷害治療や交通事故治療にプロスポーツ選手も御用達のアキュスコープを使用し,早期回復を目指します。
2.5ヶ月間に及ぶ痛風 激痛 発症から完治へ。1 2山梨県甲府市 吉野聡建築設計室のブログ。
足でよくある症状と病気一般の皆様一般社団法人日本足の外科学会。
足の甲が腫れて痛む 中足骨疲労骨折- 鍼灸スポーツ整体アスイク 尼崎 塚口・武庫之荘 伊丹 美容鍼・酸素カプセル・パーソナルトレーニングダイエット。
足の甲や足の指の痛み、これってリウマチ?」ブログさとう埼玉リウマチクリニック埼玉県戸田市のリウマチ科・リウマチ専門医のクリニック。
子どもの「足の甲の痛み」歩くと痛い、腫れがあるケースもkosodate LIFE 子育てライフ。
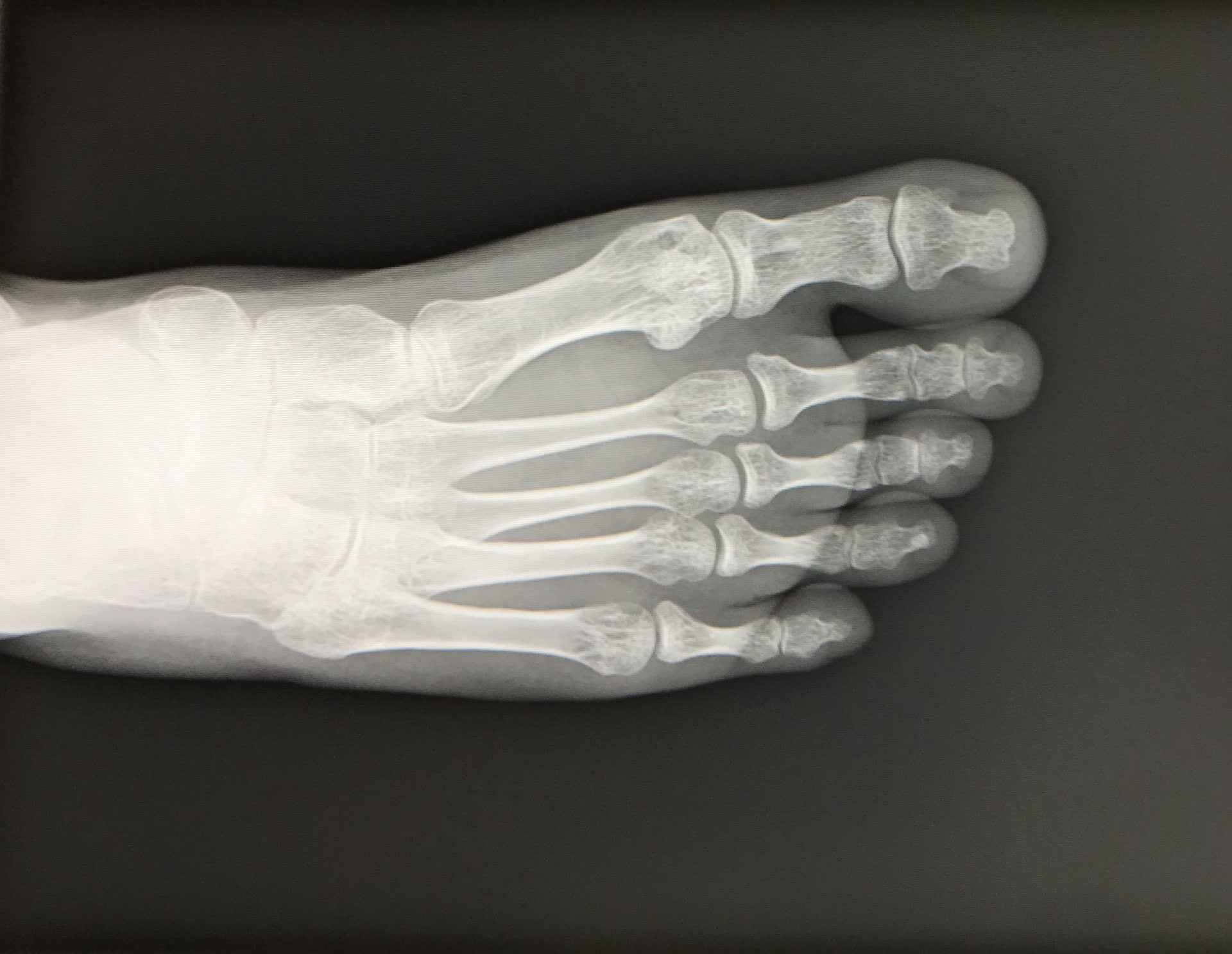
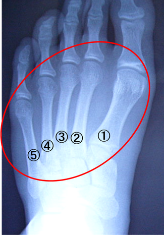
第5中足骨骨折・いわゆる下駄履き骨折と疲労骨折一般社団法人 日本整形外傷学会 骨折の解説。
甲の外側の痛み 第5中足骨基部疲労骨折公式 浮き指研究の第一人者・笠原巖の浮き指専門サイト。
足の甲の痛みの治療京王線桜上水 うえた鍼灸整骨院 はれやか整骨院。

更新情報 まる接骨院" loading="lazy" >
ダウンロード
突然の"足の甲"の痛み> 更新情報 まる接骨院。
足の甲が腫れる原因は?骨・筋肉の異常や、痛みのない浮腫を解説。
足の甲が腫れているのは”二分靭帯損傷 にぶんじんたいそんしょう ”? - ニュース&コラム - ビッグツリー荻窪クリニック。
足の甲のむくみがパンパンでひどい!考えられる原因や解消法を解説│暮らしにちょっぴり養生を│再春館製薬所。
ツヨシ on X: "ヤバっ足の甲地味に腫れた😂😂😂 風呂上がりにタブレット足に落とした😱😱😱https:t.co EWyyQxgTRq"X。
足の甲の腫れ・痛みリスフラン靭帯損傷の原因・治療・対処法こばやし接骨整骨院グループ。
痛風、糖尿病、関節リウマチ足をしっかり見て、病気のサインを見逃さない!:いつまでも歩けるための健足術:日経Gooday グッデイ。
足の甲の痛み リスフラン関節症公式 浮き指研究の第一人者・笠原巖の浮き指専門サイト。
スポーツ整形大田区 矢口の整形外科よしざわ整形外科クリニック 武蔵新田駅近く。
写真で分かるリウマチ集 ~足のリウマチ~さとう埼玉リウマチクリニック 大宮院 さいたま市のリウマチ専門のクリニック。
足の甲に痛みがある人は危険?リスフラン関節症とは名医のTHE太鼓判TBSテレビ。
リスフラン関節症 - 足のクリニック 表参道東京・足の専門病院。
足の甲の痛み・腫れ・リスフラン関節症の症状と治し方。
足の腱鞘炎 靴が原因で足が痛い!- 古東整形外科・リウマチ科。
足の腱鞘炎 靴が原因で足が痛い!- 古東整形外科・リウマチ科。
下肢静脈瘤と足の甲の関係は?下肢静脈瘤の原因や治療法とともに解説 - 外科DOC - 日帰り手術の名医を中心に掲載。
足でよくある症状と病気一般の皆様一般社団法人日本足の外科学会。
足首前側や足の甲にある「すじ」 腱 が痛い!長母趾伸筋腱の炎症 損傷。
糖尿病で足の甲がかゆい原因!糖尿病患者の水虫リスクと水虫が多い理由と予防法を解説糖尿病金沢駅前内科・糖尿病クリニック。
足の甲の痛み10歳男性天寿堂整骨院・天寿堂鍼灸マッサージ院。
足の痛みでこんなことに!知っておきたい病気の話ヘルス・インフォメーション大隅鹿屋病院。
足の甲がむくむ原因について美容鍼灸 美容整体 HARIS ハリス。