腹部エコー 胃がん 画像 (396 無料画像)

x

Dr.小川の腹部エコーのWaza-ari!!<消化管編>GE HealthCareJapan。

好きです: 106

エコー検査で見つかったガンの症例 巣鴨駅前胃腸内科クリニック。

好きです: 345

学校では教えてくれない腹部超音波のABC〜府中病院「超音波検査室」の人財育成〜府中病院 社会医療法人 生長会。

好きです: 212

超音波検査 エコー 川崎市宮前区 内科 内視鏡検査 健康診断宮崎台駅 小野田医院。

好きです: 108

胃粘膜下腫瘍:日経メディカル。

好きです: 195

超音波検査早期胃癌検診協会。

好きです: 162

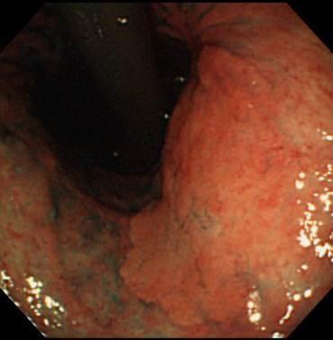
ここまでわかる!胃カメラ・大腸カメラ・腹部エコー」シリーズ 第1回 進行胃癌 胃カメラ- きむら内科・内視鏡クリニックブログ。

好きです: 224

LiverGE HealthCareJapan。

好きです: 326

超音波検査早期胃癌検診協会。

好きです: 191

どんな人ががんになっている?実際の「胃がん」の症例を紹介 たまプラーザ南口胃腸内科クリニック 消化器内視鏡横浜青葉区院。

好きです: 488

ステージ9☆食欲不振、貧血 2ページ目 :日経メディカル。

好きです: 368

胃がんの症例写真と解説夙川内視鏡内科まえだクリニック 西宮市で痛くない胃カメラ・下剤を飲まない大腸カメラを土曜日曜も実施。

好きです: 342

2023年10月の胃カメラ・大腸カメラ~腹部超音波で肝血管腫。

好きです: 133

腹部超音波検査くにちか内科クリニック。

好きです: 232

「ここまでわかる!胃カメラ・大腸カメラ・腹部エコー」シリーズ 第1回 進行胃癌 胃カメラ- きむら内科・内視鏡クリニックブログ。

好きです: 475

腹部エコー検査 - きむら内科・内視鏡クリニックブログ。

好きです: 299

エコー検査で見つかったガンの症例 巣鴨駅前胃腸内科クリニック。

好きです: 500

実際の治療例 若くても油断できない食欲不振胃がんと診断された20代女性のケース巣鴨駅前胃腸内科。

好きです: 241

ここまでわかる!胃カメラ、大腸カメラ、腹部エコー」シリーズ 第7回 早期胃癌 - きむら内科・内視鏡クリニックブログ。

好きです: 465

胃がん・十二指腸がんの検査目黒区自由が丘駅2分自由が丘消化器・内視鏡クリニック。

好きです: 403

第2章 超音波セミナ。

好きです: 372

胃がん - 福岡の苦しくない内視鏡専門医療機関福岡天神内視鏡クリニック消化器福岡博多院。

好きです: 222

胃カメラでわかる病気内視鏡・堺 ましも内科・眼科クリニック 胃カメラ・大腸カメラ。

好きです: 129

胃がんの予防と検査、治療横浜市神奈川区横浜駅から徒歩3分、内視鏡検査なら横浜ベイクォーター内科・消化器内視鏡クリニック 横浜駅院。

好きです: 165

腹部超音波による検査公益財団法人東京都予防医学協会「元気で長生き」をめざす皆さんをサポートしています。

好きです: 58

腹部超音波検査阪神西宮駅徒歩30秒の胃カメラ・大腸カメラ ひだ胃腸内視鏡クリニック。

好きです: 424

腹部エコー検査とは- 相模原 大場内科クリニック。

好きです: 315

消化管のエコー 超音波 画像の見方・疾患とその所見。

好きです: 454

エコー検査 超音波検査- ほりもと内科消化器クリニック 公式。

好きです: 75

進行胃がんに対する先進医療│近畿大学病院。

好きです: 237

放射線科診療科・部門岐阜・西濃医療センター西美濃厚生病院公式サイト西濃地区看護師募集介護医療院。

好きです: 500

放射線科診療科・部門岐阜・西濃医療センター西美濃厚生病院公式サイト西濃地区看護師募集介護医療院。

好きです: 354

消化管エコーの最新動向 - 新。超音波診断 Vol.03 - 東芝メディカルシステムズ株式会社 - inNavi Suite。

好きです: 68

超音波でみる病気の腸 小腸・大腸 」腹部超音波検査Vol.9-2 – みどり病院神戸市、明石市、循環器、透析。

好きです: 63

超音波 エコー 検査京都のたけむら内科消化器クリニック。

好きです: 139

エコー検査 超音波検査 でみえるもの、みえないもの 巣鴨駅前胃腸内科クリニック。

好きです: 248

超音波検査 - 大腸内視鏡 胃カメラ I 桐山クリニック 高崎 群馬 埼玉。

好きです: 221

消化器内科専門医が解説「胃がんの原因・検査・治療法・予防法」 巣鴨駅前胃腸内科クリニック。

好きです: 341

膵臓癌 :: 医療法人芍薬会 灰本クリニック 内科、消化器内科、循環器内科、糖尿病内科、呼吸器内科。

好きです: 105

胃がん大阪赤十字病院がん診療センタ。

好きです: 471

腹部超音波検診公益財団法人愛媛県総合保健協会。

好きです: 447

エコー検査で見つかったガンの症例 巣鴨駅前胃腸内科クリニック。

好きです: 188

エコー検査で見つかったガンの症例 巣鴨駅前胃腸内科クリニック。

好きです: 387

消化管エコーの最新動向 - 新。超音波診断 Vol.03 - 東芝メディカルシステムズ株式会社 - inNavi Suite。

好きです: 361

超音波 エコー 検査藤田内科消化器科医院新潟市 内科 消化器科。

好きです: 155

食欲がわかない 食べられない原因は? 当院を受診された方の \ 実際の治療経過を公開症状 20代 女性 1か月ほど前から食欲がなく、食べてもすぐにお腹がいっぱいに なる感じがあり食事が食べれないとのことで、 当院を受診されました。診察最近は胃痛も出てき。

好きです: 432

超音波 エコー 検査藤田内科消化器科医院新潟市 内科 消化器科。

好きです: 116

学校では教えてくれない腹部超音波のABC〜府中病院「超音波検査室」の人財育成〜府中病院 社会医療法人 生長会。

好きです: 36

らぴゅたった。

好きです: 369

放射線科診療科・部門岐阜・西濃医療センター西美濃厚生病院公式サイト西濃地区看護師募集介護医療院。

好きです: 354

胃がんの予防と検査、治療横浜市神奈川区横浜駅から徒歩3分、内視鏡検査なら横浜ベイクォーター内科・消化器内視鏡クリニック 横浜駅院。

好きです: 438

第2章 超音波セミナ。

好きです: 457

学校では教えてくれない腹部超音波のABC〜府中病院「超音波検査室」の人財育成〜府中病院 社会医療法人 生長会。

好きです: 287

ここまでわかる!胃カメラ、大腸カメラ、腹部エコー」シリーズ 第7回 早期胃癌 - きむら内科・内視鏡クリニックブログ。

好きです: 285

おすすめの写真ページ:

腹部エコー 胃がん 画像
会社名
幻光舎
住所情報: 257 吉田Mall, Suite 424, 715-5077, 北海翔町, 岩手県, Japan
電話でお問い合わせ: +81 70-5912-7306