歯がないおじさん なぜ (435 無料画像)

x

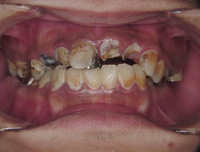
歯がボロボロで恥ずかしい方への治療登美ヶ丘木原歯科医院。

好きです: 385

歯が抜ける原因TOP3!大人が歯を失う平均年齢と予防法 – 戸田市のインプラント治療北戸田COCO歯科。

好きです: 421

60代女性。入れ歯しかないと言われたけれど、インプラント治療を無事に終了尼崎、西宮、芦屋のインプラント・入れ歯専門 永井歯科・矯正歯科。

好きです: 475

入れ歯の大切さの写真・画像素材-Snapmart スナップマート。

好きです: 334

妖星 on X: "むかし機関長がさ変な顔になってたの 歯のない人かな?思たけどちゃんとあるし まさか入れ歯を抜いて人前には現れんやろし海運七不思議の1つやったんやけど アメトークの歯列矯正芸人で分かった! 「クシャおじさん」っていう顔にそっくり! 顎が自由に。

好きです: 419

50代の患者様に歯列矯正をおすすめする理由 口元の老化予防にも歯列矯正大阪でするなら「帝塚山スマイルデザインクリニック」。

好きです: 321

おじさん、前歯が欠ける八ヶ岳南麓の里小屋から -for comfort life。

好きです: 405

全部抜くしかない、入れ歯ができるまで2ヵ月間は歯がない」と言われて困った 40代男性入れ歯専門の歯科医院東京池袋の萩原歯科医院。

好きです: 278

写真から蘇る記憶~いまを生きる力に~人を想う So storySottoそっと、暮らしに寄り添う仏具。

好きです: 419

50代の患者様に歯列矯正をおすすめする理由 口元の老化予防にも歯列矯正大阪でするなら「帝塚山スマイルデザインクリニック」。

好きです: 153

やばい!若いけれど歯がない人はどうすれば良い?大阪インプラント総合クリニック。

好きです: 320

歯がなくなる原因とは?年齢別の主な要因を解説!おじさんは特に注意!?インプラントネット。

好きです: 327

歯医者が苦手なのですが、どうしたらいいですか。

好きです: 67

歳をとると歯は抜けるもの?医療法人社団 スマイルクリエイション 立川南口歯科 東京 都 立川市の歯医者 立川南駅。

好きです: 252

歯が抜ける原因の多くは虫歯か歯周病! しかし病気の可能性もあきもと歯科 インプラント治療専門サイト。

好きです: 339

全部抜くしかない、入れ歯ができるまで2ヵ月間は歯がない」と言われて困った 40代男性入れ歯専門の歯科医院東京池袋の萩原歯科医院。

好きです: 145

歯の寿命を短くする原因4つと延ばすため に必要なたった1つのこと久我山の歯医者久我山駅前歯科・矯正歯科。

好きです: 487

なぜ虫歯はできるの?「甘いものを食べるとなりやすい」の真相もMOLp®-そざいの魅力ラボ-。

好きです: 381

歯がないおじさん歯おじさんばってん熊本🦋TikTok。

好きです: 299

笑うセールスマンみたい 」ホワイトニングにお金をかけているオジサンが、実は女子から不評な意外すぎる理由。FORZASTYLEファッション&ライフスタイル フォルツァスタイル。

好きです: 462

若いのに歯がない。やばい!インプラント オールオン4なら大阪・関西の筒井歯科。

好きです: 323

歯を失ってしまう原因と対策8020達成のために8020推進財団。

好きです: 156

藤田 浩毅恵比寿 すしさとる 連日のおじさん2人の忘年会。 よっちゃんと飲むのは2人に限る。 他の人が居るとすぐカッコつけるから😁2人でいる時は至って本音。 もちろんお互いの商売の事も。 肉 「なぜもっと売れるのに売らないっ」 すぐ怒られる😆Instagram。

好きです: 483

60代女性。入れ歯しかないと言われたけれど、インプラント治療を無事に終了尼崎、西宮、芦屋のインプラント・入れ歯専門 永井歯科・矯正歯科。

好きです: 92

わが子の「乳歯」を捨ててはいけない!?その意外な理由とはDOL特別レポートダイヤモンド・オンライン。

好きです: 174

ある日、知らない男が食卓に座っていた。衝撃展開に圧倒される短編映画『ja mais vuジャメヴ』が9 15より動画配信サービス「シアタープラス」で配信開始株式会社vivianeのプレスリリース。

好きです: 380

BS-TBS ドラマ・帰らないおじさん 光石研×高橋克実×橋本じゅん会見 『仲良しおじさんたちのグループライン』。

好きです: 116

歯がなくても、健康長寿の人はいる西辻歯科医院。

好きです: 201

八重歯、なぜ早く治すべきなのか?ミニッシュJAPAN。

好きです: 274

歯がなくなる原因とは?年齢別の主な要因を解説!おじさんは特に注意!?インプラントネット。

好きです: 296

高齢者の歯科治療あべひろ総合歯科三郷市 三郷駅。

好きです: 274

高齢者の歯科治療あべひろ総合歯科三郷市 三郷駅。

好きです: 221

妖星 on X: "むかし機関長がさ変な顔になってたの 歯のない人かな?思たけどちゃんとあるし まさか入れ歯を抜いて人前には現れんやろし海運七不思議の1つやったんやけど アメトークの歯列矯正芸人で分かった! 「クシャおじさん」っていう顔にそっくり! 顎が自由に。

好きです: 163

高齢者の歯科治療あべひろ総合歯科三郷市 三郷駅。

好きです: 316

歯を失ってしまう原因と対策8020達成のために8020推進財団。

好きです: 279

50代の患者様に歯列矯正をおすすめする理由 口元の老化予防にも歯列矯正大阪でするなら「帝塚山スマイルデザインクリニック」。

好きです: 170

なぜ虫歯はできるの?「甘いものを食べるとなりやすい」の真相もMOLp®-そざいの魅力ラボ-。

好きです: 264

歯がボロボロすぎて歯医者に行けない」とお悩みの方へ。恥ずかしい方に知ってほしい情報。

好きです: 7

歯がないおじさん歯おじさんばってん熊本🦋TikTok。

好きです: 419

令和笑タイム!!>AMEMIYA 歯痛、治ったけれども :東京新聞デジタル。

好きです: 369

おすすめの写真ページ:

歯がないおじさん なぜ
会社名
幻光舎
住所情報: 257 吉田Mall, Suite 424, 715-5077, 北海翔町, 岩手県, Japan
電話でお問い合わせ: +81 70-5912-7306