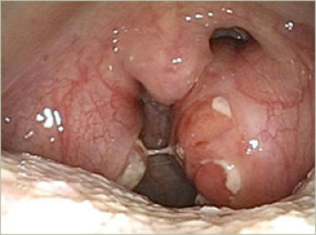
喉の赤み 写真 (386 無料写真)

x

喉の痛みもしかして性病かも天神マイケアクリニック。

好きです: 153

医師監修 のどが赤い原因とは?対処法と予防法も解説健栄のカバくんシリーズ健栄製薬。

好きです: 395

トランサミン トラネキサム酸 の喉や美白への効果や副作用・授乳中・小児への適応についてひまわり医院 内科・皮膚科。

好きです: 438

病気による口腔内口蓋裂炎と喉の痛み。病気中の感染による口蓋垂と扁桃腺の炎症、クローズアップの写真素材・画像素材 Image 227767901。

好きです: 226

咽頭の病気最上クリニック-予約優先診療・日帰り手術で安心治療 – 姫路の耳鼻科。

好きです: 183

3,900点を超える扁桃炎のストックフォト、写真、そしてロイヤリティフリーの画像 - iStock。

好きです: 93

のどの病気 - 病気のはなし - いのうえ耳鼻咽喉科岩倉市の耳鼻咽喉科・小児耳鼻咽喉科・アレルギー科。

好きです: 143

口の中で分かる病気足立区で皮膚科・小児科なら五反野皮ふ・こどもクリニック土日診療。

好きです: 184

見てわかるのどの病気 耳鼻咽喉科内藤クリニック。

好きです: 365

小児 急性扁桃炎・咽頭炎どい耳鼻咽喉科 船橋日大駅前院。

好きです: 256

扁桃炎へんとうえん とは済生会。

好きです: 454

のどの病気大野城市の耳鼻咽喉科にしやま耳鼻咽喉科西鉄春日原駅より徒歩4分。

好きです: 169

溶連菌感染症 どんな病気?喉に感染し発熱や痛み 腎炎など合併症に注意さんにちEye 山梨日日新聞デジタル。

好きです: 362

扁桃炎について池袋ながとも耳鼻咽喉科。

好きです: 432

飲み込むときの喉の痛み 何が原因?考えられる病気と対処法、受診の目安 - 神戸きしだクリニック 神戸市中央区。

好きです: 292

のどが痛い・のどの違和感・のどのつかえ・声がかすれる・味が分からない など戸田ファミリア耳鼻咽喉科。

好きです: 166

溶連菌感染症 ようれんきんかんせんしょう 目で見てわかる子どもの病気子どものホームケアの基礎。

好きです: 274

見てわかるのどの病気 耳鼻咽喉科内藤クリニック。

好きです: 431

口腔・咽頭の病気一般社団法人 日本耳鼻咽喉科頭頸部外科学会。

好きです: 402

喉の痛み 咽頭炎 を引き起こす性病と扁桃炎との違いを解説 – プライベートクリニック高田馬場 – 東京都新宿区。

好きです: 74

咽頭の病気最上クリニック-予約優先診療・日帰り手術で安心治療 – 姫路の耳鼻科。

好きです: 154

喉の痛みと腫れ・赤み 考えられる原因とご自身でできる対処法 - 神戸きしだクリニック 神戸市中央区。

好きです: 119

赤い喉」の3.8万点のロイヤリティフリー画像、写真素材、絵Shutterstock。

好きです: 61

扁桃腺」の1.5万点のロイヤリティフリー画像、写真素材、絵Shutterstock。

好きです: 498

高熱でノドの痛み - クリニックブログ - いのうえ耳鼻咽喉科岩倉市の耳鼻咽喉科・小児耳鼻咽喉科・アレルギー科。

好きです: 175

なまため内科♡ハートクリニック‎‏‏‎*今週も1週間始まりましたね。2月はお子さんの溶連菌感染とインフルエンザBが多く見受けられます。うがい、手洗い、マスクを忘れずに😷浦和北浦和発熱インフルエンザ溶連菌アレルギー性鼻炎アレルギー花粉咳。

好きです: 333

インフルエンザはのどで分かる!お役に立てるかも院長ブログあいDental・Medical Clinic。

好きです: 83

まだまだ注意!子どもに多い風邪の症状!医療法人けやき会 くらたクリニック。

好きです: 73

喉の痛みを引き起こす性感染症 男女 池袋マイケアヒルズタワークリニック。

好きです: 463

喉が痛い時に 総合専門医が教えるとっておきの対処方法7つの知識 – 転ばぬ先の杖。

好きです: 489

口腔・咽頭の病気一般社団法人 日本耳鼻咽喉科頭頸部外科学会。

好きです: 357

声帯ポリープ・声帯結節、喉の病気の治療は横浜市の西山耳鼻咽喉科医院まで。

好きです: 101

咽頭の病気最上クリニック-予約優先診療・日帰り手術で安心治療 – 姫路の耳鼻科。

好きです: 65

医師監修 のどが赤い原因とは?対処法と予防法も解説健栄のカバくんシリーズ健栄製薬。

好きです: 314

扁桃腺のはれ レベルチェックハレナース・ハレナーススプレー小林製薬。

好きです: 232

子どもの喉の痛みの原因は?さまざまな原因と喉の痛みを予防する方法について解説! – ユーグレナ ヘルスケア・ラボ。

好きです: 86

扁桃腺」の1.5万点のロイヤリティフリー画像、写真素材、絵Shutterstock。

好きです: 161

溶連菌感染症の口と舌の症状写真で見る「子どもの病気」 - みやけ内科・循環器科。

好きです: 38

溶連菌感染症とは?症状・診断・治療・予防まで徹底解説!にこにこクリニック。

好きです: 395

ヘルパンギーナ日野駅前ファミリークリニック日野市内科・小児科・アレルギー科・救急科。

好きです: 49

急性咽頭炎・急性扁桃炎 きゅうせいいんとうえん・きゅうせいへんとうえん協愛医院。

好きです: 291

風邪?扁桃炎?咽頭炎?違いと対処法を医師がわかりやすく解説 - わかばファミリークリニックブログ。

好きです: 469

扁桃腺のはれ レベルチェックハレナース・ハレナーススプレー小林製薬。

好きです: 495

喉が痛いです!! - お悩み相談田園都市高血圧クリニック かなえたまプラーザ駅南口より徒歩1分の内科・循環器内科。

好きです: 444

喉の痛みもしかして性病かも天神マイケアクリニック。

好きです: 399

扁桃炎・咽頭炎・喉頭炎について横浜市都築区のおおた耳鼻咽喉科。

好きです: 189

見てわかるのどの病気 耳鼻咽喉科内藤クリニック。

好きです: 210

おすすめの写真ページ:

喉の赤み 写真
会社名
幻光舎
住所情報: 257 吉田Mall, Suite 424, 715-5077, 北海翔町, 岩手県, Japan
電話でお問い合わせ: +81 70-5912-7306