脂肪肝 画像診断まとめ (252 無料画像)

x

計算能力の向上で超音波診断装置が進化、脂肪を定量化して脂肪肝を早期発見日経クロステック xTECH。

好きです: 439

検査科だより7:脂肪肝とはどんな病気か医療法人輝栄会 福岡輝栄会病院。

好きです: 94

症例8:診断と解説。

好きです: 356

脂肪肝の診断と治療 - 関連疾患 l 肝機能の数値・肝臓の数値を調べる肝機能ナビ。

好きです: 128

脂肪肝の基礎知識脂肪肝とは肝臓に脂肪が異常に蓄積されている状態です。

好きです: 368

脂肪肝 - 関連疾患 l 肝機能の数値・肝臓の数値を調べる肝機能ナビ。

好きです: 496

意外と怖い脂肪肝 - パイナクリニック祐天寺。

好きです: 428

症例7:診断と解説。

好きです: 466

脂肪肝の診断について島根大学医学部。

好きです: 439

脂肪肝とは?CT,MRI画像診断のポイントは。

好きです: 389

肝臓がん消化器診療内容医療法人 甘木第一クリニック。

好きです: 130

肝硬変のCT,MRI画像所見のポイントは。

好きです: 390

肝細胞癌のCT,MRI画像診断 HCC:hepatocellular carcinoma。

好きです: 160

脂肪肝緑区・天白のさくら医院消化器内科・胃腸科・健康診断。

好きです: 38

非アルコール性脂肪肝炎ファーマスタイルm3.com。

好きです: 158

肝部下大静脈周囲の脂肪組織 pericaval fat collection。

好きです: 471

脂肪肝はお酒好きだけの病気ではない!?食事と運動で肝臓を守ろう東京都千代田区神田神保町 こころとからだの元氣プラザ。

好きです: 129

脂肪肝検査千里中央駅 内科・外科 ためさん診療所腹痛・脂肪肝・健康診断 再検査・予防接種。

好きです: 82

肝細胞癌のCT,MRI画像診断 HCC:hepatocellular carcinoma。

好きです: 246

脂肪肝とは?CT,MRI画像診断のポイントは。

好きです: 70

肝の血流異常とは?限局性脂肪肝、偽病変、third inflow、AP-shuntの画像診断。

好きです: 242

脂肪肝の原因と薬物治療による改善方法について解説ひまわり医院 内科・皮膚科。

好きです: 459

隠れ脂肪肝 ~腹部超音波検査~ - 福岡天神内視鏡クリニックブログ。

好きです: 15

脂肪肝はMRIやCTでわかるのか?石原知明〜四日市消化器病センター肝臓内科医。

好きです: 428

脂肪肝 CT画像 の説明スライド - 医療のイラスト・写真・動画、素材販売サイトのメディック medick。

好きです: 386

相馬医院 - 腹部エコ。

好きです: 241

脂肪肝と言われたら三重大学病院 消化器・肝臓内科。

好きです: 17

腹部CTにおける肝臓の基本的見方、わかることまとめ。

好きです: 289

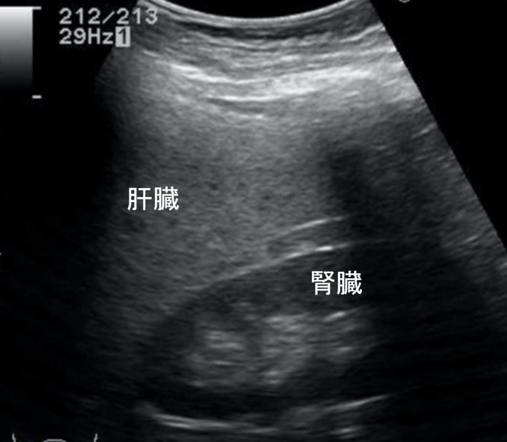
超音波検査で脂肪肝を,みて,見て,診よう 4。

好きです: 496

脂肪肝消化器診療内容医療法人 甘木第一クリニック。

好きです: 396

超音波検査で脂肪肝を,みて,見て,診よう 4。

好きです: 304

医学文献検索サービス -メディカルオンライン。

好きです: 151

第1章 肝臓 −肝実質のCT吸収値びまん性低下の鑑別画像診断 36巻4号医書.jp。

好きです: 182

キヤノンメディカルシステムズ、『肝臓の脂肪量の汎用超音波画像診断装置による正確な測定法の確立の検討』に関する国内多施設臨床研究をサポート映像情報Medical。

好きです: 391

脂肪肝ドックが始まっているらしい。

好きです: 330

脂肪肝について書写西村内科。

好きです: 96

もしかして脂肪肝?倉敷平成病院だより。

好きです: 199

脂肪肝の症例写真 超音波検査- 医療のイラスト・写真・動画、素材販売サイトのメディック medick。

好きです: 332

脂肪肝や中性脂肪が高いと健診で指摘された方へCT検査・生活改善・薬物療法長久手クリニック 内科・腎臓内科・リウマチ科。

好きです: 39

症例1:診断と解説。

好きです: 168

Home vol.41:正しく恐れる脂肪肝 〜「脂肪肝」を知る〜お知らせ静岡済生会総合病院。

好きです: 164

肝臓を占拠する!!パート1~できもの 悪くないもの 」腹部超音波検査 Vol.3 – みどり病院神戸市、明石市、循環器、透析。

好きです: 86

メディカルwatch » Blog Archive » 『肝臓の脂肪量の汎用超音波画像診断 装置による正確な測定法の確立の検討』に関する国内多施設臨床研究に関して。

好きです: 380

放っておかないで・脂肪肝 その② 診断・検査について。

好きです: 452

脂肪肝とは?CT,MRI画像診断のポイントは。

好きです: 184

脂肪肝とは?CT,MRI画像診断のポイントは。

好きです: 213

脂肪肝とは?CT,MRI画像診断のポイントは。

好きです: 346

脂肪肝消化器診療内容医療法人 甘木第一クリニック。

好きです: 429

脂肪肝ごうファミリークリニック鎌倉大船。

好きです: 267

症例7:診断と解説。

好きです: 327

脂肪肝診断検査 - 健都健康管理センター 大阪府吹田市JR岸辺駅直結の健診センタ。

好きです: 315

医学界新聞プラス第1回 肝障害症例に対する画像診断医学界新聞プラス記事一覧医学界新聞プラス医学書院。

好きです: 415

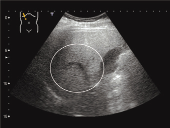
写真中 脂肪肝−の方の腹部USあびこ内科外科大橋クリニック。

好きです: 145

脂肪肝 NAFLD、NASH、ASHしおや消化器内科クリニックさいたま市中央区 与野本町駅。

好きです: 455

脂肪肝とは?CT,MRI画像診断のポイントは。

好きです: 350

脂肪肝はMRIやCTでわかるのか?- 四日市消化器病センタ。

好きです: 480

おすすめの写真ページ:

脂肪肝 画像診断まとめ
会社名
幻光舎
住所情報: 257 吉田Mall, Suite 424, 715-5077, 北海翔町, 岩手県, Japan
電話でお問い合わせ: +81 70-5912-7306