漏斗状血管拡張 (341 無料画像)

x

Terminologia Anatomica TA に基づく解剖学。

好きです: 170

末梢血管疾患 - 患者さんへ - 京都大学 心臓血管外科。

好きです: 149

北田内科クリニックのホームページへようこそ !糖尿病のお悩み、糖尿病の発症原因、健康相談、健康教室、糖尿病教室、バーチャル相談室など、どうぞご覧下さい。

好きです: 239

MRI MRA画像あり 脳動脈瘤の種類、頻度、好発部位、画像所見まとめ。

好きです: 74

遺伝性出血性毛細血管拡張症 – WEB脳神経外科。

好きです: 359

東京大学医学部脳神経外科:脳動脈瘤、くも膜下出血。

好きです: 94

脳幹の機能神経系の機能看護roo! カンゴルー。

好きです: 166

小児科の病気:川崎病病気の治療徳洲会グループ。

好きです: 435

ストーリー限定!質問解答してます🙋‍♀️β遮断薬の仕組み✔︎β1受容体は刺激で心臓の収縮力・心拍数UP β2受容体は血管、気管支:刺激で血圧低下気管支拡張 ✔︎①β1とβ2両方遮断 プロプラノロール カルテオロールなど 心機能抑制・気管支 収縮作用のため喘息。

好きです: 130

静脈奇形難治性血管腫・血管奇形薬物療法研究班情報サイト。

好きです: 373

高知医療センターで実施する手術の延期について高知医療センタ。

好きです: 499

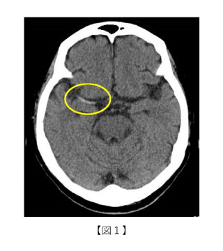
IC-PC動脈瘤との鑑別がしばしば問題となるのが漏斗状拡張 infundibular dilatation です。 鑑別のポイントは ▷漏斗状拡張は先端から動脈分枝が出ている→MIP像やMPR画像を作成▷動脈瘤は後外側下方に向かい、漏斗状拡張は先端部が内側向きに出ることが多い。 という点です。

好きです: 123

Terminologia Anatomica TA に基づく解剖学。

好きです: 242

朝倉書店『内科学』 第12版 デジタル付録。

好きです: 162

日々の症例 70 軟部の血管腫hemangioma。

好きです: 421

有効成分の静脈血管叢 じょうみゃくけっかんそう エキスの働きヘモリンド。

好きです: 497

MRI MRA画像あり 脳動脈瘤の種類、頻度、好発部位、画像所見まとめ。

好きです: 492

知っておきたい動脈硬化一般社団法人動脈硬化予防啓発センタ。

好きです: 71

胸部CT道場11・飛び飛びに白くなる陰影7・粒状影のいろいろ6・小葉の中心部、ならびに辺縁部 リンパ路・広義間質 に存在する粒状影1:やさしイイ呼吸器教室。

好きです: 392

漏斗胸について漏斗胸・胸郭変形なら松山笠置記念心臓血管病院。

好きです: 327

脳血管障害東京女子医科大学附属足立医療センター 脳神経外科。

好きです: 87

漏斗状拡張とは? 症状は?」外科の相談。AAAAさん 41歳 女性 の投稿。 CARADA 健康相談医師や専門家に相談できるQ&Aサイト。30万件以上のお悩みに回答。

好きです: 104

静脈奇形難治性血管腫・血管奇形薬物療法研究班情報サイト。

好きです: 404

心筋-バーチャルラボラトリ。

好きです: 271

FMD検査おおた内科消化器科クリニック。

好きです: 222

MRI MRA画像あり 脳動脈瘤の種類、頻度、好発部位、画像所見まとめ。

好きです: 135

検査法日本冠微小循環障害研究会 J-CMD。

好きです: 310

根管治療 その3大東市・野崎駅前歯科クリニック・治療大解説。

好きです: 43

tim e-of -fl i ght MR angio gr aph y Tim e- of-f li ght MR angio gra ph yat 3T - ex perime ntal tes tin g and cl i。

好きです: 416

象牙質齲蝕口腔病理基本画像アトラス。

好きです: 53

外科形成外科 – 群馬県立小児医療センタ。

好きです: 457

鶯谷健診センタ。

好きです: 247

医師監修・作成 子供 小児 の心不全の治療はどういったアプローチをするべきかMEDLEY メドレー。

好きです: 55

MRI MRA画像あり 脳動脈瘤の種類、頻度、好発部位、画像所見まとめ。

好きです: 78

MRI MRA画像あり 脳動脈瘤の種類、頻度、好発部位、画像所見まとめ。

好きです: 369

内頸動脈・後交通動脈分岐部漏斗状拡張を思わせる小動脈瘤破裂の2例Neurological Surgery 脳神経外科 8巻6号医書.jp。

好きです: 483

infundibular dilatation脳疾患を知る桑名眼科脳神経クリニック。

好きです: 363

脳動脈瘤と頸動脈狭窄症」。

好きです: 34

マルファン症候群血管外科心臓血管外科部門診療科・部門のご案内国立循環器病研究センター 病院。

好きです: 246

ポテンツァとダーマペンの違いは?悩みに合わせた選び方のポイント梅田すずらんクリニックブログ。

好きです: 436

MRI MRA画像あり 脳動脈瘤の種類、頻度、好発部位、画像所見まとめ。

好きです: 313

バイオメカニクス研究室研究内容血管のバイオメカニクスに関する研究二軸引張試験機を用いた動脈瘤組織の力学特性の計測。

好きです: 184

知っておきたい動脈硬化一般社団法人動脈硬化予防啓発センタ。

好きです: 161

脳動静脈奇形 慶應義塾大学病院脳神経外科教室。

好きです: 416

家族性胸部大動脈瘤・解離 - 遺伝性疾患プラス。

好きです: 382

ごろ~にゃ@画像診断cafe on X: " 🧠脳MRA読影で重要なIC-PC動脈瘤と漏斗状拡張の鑑別のコツ✍️IC-PC動脈瘤☑️後外側下方に向かう ☑️根元から動脈分枝 ☑️嚢状や不整形 ☑️3mm以上もある 漏斗状拡張 Infundibular dilatation☑️後内側下方に向かう ☑️先端。

好きです: 185

5-2-1 血管の種類末梢の細動脈,毛細血管,冠動脈。

好きです: 342

倉敷中央病院医療従事者の方へ高度医療の紹介 脳血管内治療。

好きです: 314

MRI MRA画像あり 脳動脈瘤の種類、頻度、好発部位、画像所見まとめ。

好きです: 61

脳血管奇形 脳動静脈奇形、海綿状血管腫秋田県立循環器・脳脊髄センタ。

好きです: 405

静岡市葵区の歯医者 みまつ渡辺歯科 » 感染根管治療について教えてください。

好きです: 390

血管内皮機能研究東北大学病院 - 循環器内科。

好きです: 495

マルファン症候群の治療、手術東京のマルファン・大動脈・ハートクリニック。

好きです: 416

花王血管画像自動抽出技術を用いて皮膚深部の血管と毛細血管の血流情報を同時に検出。

好きです: 132

脳の造影剤CT検査結果説明ゆうゆのぼんやり日記。

好きです: 155

Abierto Reading Support Solutionにおける脳動脈瘤候補検出アプリケーション EIRLaneurysm の使用経験国際医療福祉大学成田病院様EIS ITソリューション 導入事例epicusCLUBキヤノンメディカルシステムズ株式会社。

好きです: 70

MRI MRA画像あり 脳動脈瘤の種類、頻度、好発部位、画像所見まとめ。

好きです: 245

血管内皮機能研究東北大学病院 - 循環器内科。

好きです: 468

脳動脈瘤の画像診断と撮影法ー破裂リスクの評価と漏斗状拡張との鑑別。

好きです: 352

おすすめの写真ページ:

漏斗状血管拡張
会社名
幻光舎
住所情報: 257 吉田Mall, Suite 424, 715-5077, 北海翔町, 岩手県, Japan
電話でお問い合わせ: +81 70-5912-7306